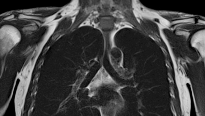
Японские учёные рассказали о поражении лёгких у тех, кто переболел коронавирусом без симптомов, сообщает «ZNAK» с ссылкой на РИА Новости.
Информация стала известна благодаря исследованию результатов компьютерной томографии пассажиров лайнера Diamond Princess, заразившихся COVID-19. Всего на корабле было инфицировано 104 человека, у 76 из них вирус никак не проявлялся. При изучении топографий уже у 41 человека с положительными тестами на коронавирус, но без проявлений болезни найдены изменения в лёгких – «эффект матового стекла».
В связи с данными исследованиями, учёные сделали вывод о том, что вирус поражает лёгкие в независимости от наличия симптомов.
Все пассажиры лайнера на данный момент находятся на карантине.
Фото: http://mrtspb.ru
Подписка на МордовМедиа в Telegram - удобный способ быть в курсе важных новостей! Подписывайтесь и будьте в центре событий. Подписаться.
Не забудьте поделитесь с друзьями в соцсетях и месенджерах:
Автор: ИА "МордовМедиа"

